浙江微流纳米生物技术有限公司
倍他司汀醇质体的制备
倍他司汀是一种安全、高效的抗组胺类药物,具有舒张脑及内耳血管、长期用药作用不减退的特点,也可用于预防眩晕的产生。临床上常用于治疗美尼尔综合征、血管性头痛及脑动脉硬化、急性缺血性脑血管疾病等。
目前倍他司汀上市剂型只有片剂和注射液,常见食欲不振、恶心、呕吐、口干等不良反应,大部分的文献报道倍他司汀的首过效应大,且其半衰期只有3.5~4.6 h,一般的口服制剂无法避免首过效应,并且需要多次服用,增大了胃肠道刺激,而注射液容易感染、使用不方便、患者顺应性差。因此将倍他司汀通过醇质体作为载体制成经皮给药的剂型,具有较好的开发前景。把倍他司汀做成醇质体后,通过皮肤透过给药,从而使药物更加容易进入人体,使其吸收药物的部位有较高浓度,进而达到延长作用时间的目的; 还能绕过血脑屏障,使其避免肝脏的作用,进而避免了首过效应; 达到起效快、生物利用度高、作用时间久的目的。
1. 倍他司汀醇质体的制备
称取倍他司汀原料药100mg、大豆卵磷脂311mg,溶于4.1mL的乙醇中,置于磁力搅拌器上,在39 ℃、300 r/min的条件下充分混合,边搅拌边缓慢细流注入10 mL水,注完后继续搅拌5 min,经0.22μm微孔滤膜过滤,即得倍他司汀醇质体。
2. 倍他司汀醇质体的外观形态表征

图一 倍他司汀醇质体的粒径分布

图二 倍他司汀醇质体的电位分布

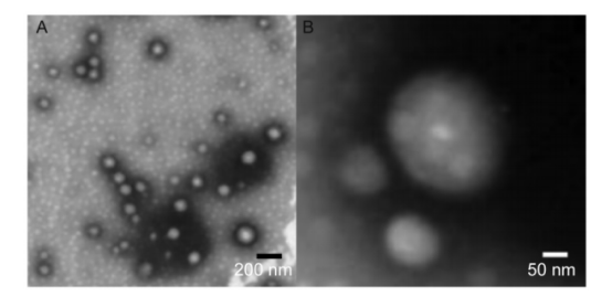
图三 倍他司汀醇质体的电镜照片
采用Nano ZS 型马尔文激光散射粒径测定仪测定其平均粒径及Zeta电位。平均粒径为( 59.6 ± 4.81) nm,多分散系数为( 0.12 ± 0.04 ) ,Zeta 电位为 -( 25.0 ± 3.1) mV。
用透射电镜观察其形貌并记录照片。结果显示,倍他司汀醇质体形状规则,近似球形。
3. 皮内滞留量的测定
采用皮肤剪碎法测定皮肤中的药物滞留量,结果表明,醇质体在24 h内皮肤中的药物滞留量最高,顺序为醇质体>45%乙醇溶液>脂质体>水溶液。

图四 24h不同倍他司汀制剂的皮内滞留量的比较

ZB 20251128